Metamorfozy stomatologiczne

metamorfozy stomatologiczne

Metamorfozy zębów u pacjentów

Planowanie uśmiechu Warszawa Wola

Sprawdź efekty działań naszych lekarzy stomatologów w centrum Warszawy. Wspólnie spełniamy Wasze marzenia o ładnym wyglądzie zębów, uśmiechu i białych zębach. Zajmujemy się projektowaniem i planowaniem uśmiechu Pacjentów z miasta Warszawy i okolic.

Prezentujemy tu przypadki stomatologiczne przed i po przeprowadzonym zabiegu, leczeniu, aby pokazać Wam co potrafimy i jaki może być efekt końcowy z zastosowania stomatologii estetycznej w naszym gabinecie dentystycznym.

Przeprowadzone zabiegi dotyczą najczęściej: odbudowy startych zębów, odbudowy całego łuku zębowego górnego lub dolnego, eliminowania przebarwień na zębach, wykonania mostów na implantach, koron ceramicznych onlay, uzupełnień protetycznych, eliminowanie przerw i zamykania diastem, korekty kształtu dziąsła, zmiany kształtu i struktury zębów przednich, eliminowanie ukruszonych, pękniętych, nierównych zębów, redukowanie ich długości w trakcie jednej lub kilku wizyt w naszym gabinecie.

Podkreślamy, że każdy przypadek jest unikalny, a ostateczny rezultat zależy od różnorodnych czynników. 
Z tego powodu nie można spodziewać się, że efekt końcowy leczenia będzie wyglądał identycznie u wszystkich.

implantacja z odbudową kościimplantacja z odbudową kości

Wiek: 55
Płeć: mężczyzna
Czas leczenia: 6 miesięcy

licówki na diastemęlicówki na diastemę

Wiek: 45
Płeć: mężczyzna
Czas leczenia: 4 tygodnie

szpary między zębamizamykanie szpary między zębami

Wiek: 30
Płeć: mężczyzna
Czas: 1,5 roku

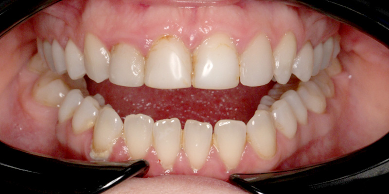
nieestetyczny bondingkorony protetyczne

Wiek: 40
Płeć: kobieta
Czas: 3 miesięce

przed uzupełnieniem zębów mostem na implantachuzupełnienie zębów mostem po metamorfozie

Wiek: 70
Płeć: kobieta
Czas: 6 miesięcy

prostowanie zębów nakładkami przed leczeniemprostowanie zębów nakładkami efekt po leczeniu

Wiek: 28
Płeć: kobieta
Czas: 10 miesięcy

przed uzupełnieniem braków zębowychpo uzupełnieniu braków w uzębieniu

Wiek: 45
Płeć: mężczyzna
Czas: 6 miesięcy

przed kompleksowym leczeniem stomatologicznymleczenie stomatologiczne z poprawą wyglądu zębów po

Wiek: 45
Płeć: kobieta
Czas: 8 miesięcy

wymiana starej korony ze złotaodbudowa uzębienia koroną zębową

Wiek: 40
Płeć: mężczyzna
Czas: 5 dni

aparat ortodontyczny przed założeniem licóweklicówki po leczeniu ortodontycznym

Wiek: 27
Płeć: kobieta
Czas: 4 tygodnie

przed zaboeg gingiwoplastykapo plastyce dziąseł z osteoplastyką

Wiek: 28
Płeć: kobieta
Czas: 4 miesiące

przed leczenie nakładkowe aparatem niewidocznymefekt po leczeniu nakładkami ortodontycznymi

Wiek: 30
Płeć: mężczyzna
Czas: 8 miesięcy

usunięcie torbieli i regeneracja kości pod implantykorony pełnoceramiczne na implantach zębowych

Wiek: 30
Płeć: kobieta
Czas: 12 miesięcy

odbudowa zębów górnych koronami zyrkonnaprawa zębów mostami

Wiek: 60
Płeć: mężczyzna
Czas: 34 miesiące

zęby przednie przed odbudowąodbudowa zębów przednich siekaczy

Wiek: 45
Płeć: mężczyzna
Czas: 3 miesiące

rekonstrukcja startych zębów przedkompleksowa odbudowa startych zębów po

Wiek: 30
Płeć: mężczyzna
Czas: 1 miesiąc

odbudowa wybitego zęba stałego jedynkirekonstrukcja wybity ząb

Wiek: 35
Płeć: kobieta
Czas: 4 miesiące

korekta kształtu koloru zębów licówkamiodbudowa zębów licówki pełnoceramiczne

Wiek: 42
Płeć: kobieta
Czas: 1 miesiąc

odbudowa pełnołukowa całego uzębieniarekonstrukcja pełnołukowa implantami

Wiek: 67
Płeć: mężczyzna
Czas: 6  miesięcy

Uzupełnienie protetyczne zębów przedodbudowa protetyczna licówkami po

Wiek: 50
Płeć: kobieta
Czas: 2 miesiące

usunięcie przerwy między zębamiusunięcie przerwy między zębami

Wiek: 45
Płeć: kobieta
Czas leczenia: 3 tygodnie

leczenie ortodontyczne przezroczystymi nakładkamileczenie ortodontyczne przezroczystymi nakładkami

Wiek: 34
Płeć: mężczyzna
Czas leczenia: 

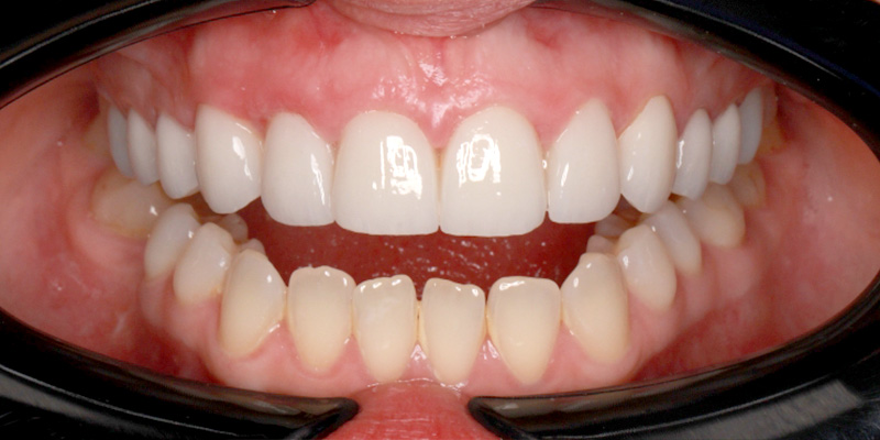
odbudowa kształtu zębów licówkąodbudowa kształtu zębów licówką

Wiek: 24
Płeć: kobieta
Czas leczenia: 3 tygodnie

most implantoprotetycznymost implantoprotetyczny

Wiek: 61
Płeć: kobieta
Czas leczenia: 4 miesiące

korony implantoprotetycznekorony implantoprotetyczne

Wiek: 52
Płeć: mężczyzna
Czas leczenia: 4 miesiące

licówki na zębylicówki na zęby

Wiek: 42
Płeć: mężczyzna
Czas leczenia: 3 tygodnie

wybielanie martwego zębaprofesjonalne wybielanie martwego zęba

Wiek: 35
Płeć: kobieta
Czas leczenia: w trakcie

braki w uzębieniuwszczepienie implantów w szczęce i żuchwie

Wiek: 45
Płeć: kobieta
Czas leczenia: w trakcie

braki w uzębieniuimplanty cyrkonowe

Wiek: 30
Płeć: mężczyzna
Czas leczenia: 6 miesięcy

nierówna linia uśmiechu leczenieodbudowa zębów kompozytem

Wiek: 48
Płeć: kobieta
Czas leczenia: 7 miesięcy

licówki pelnoceramiczneuśmiech pacjenta po założeniu licówek pełnoceramicznych

Wiek: 25
Płeć: kobieta
Czas leczenia: 5 miesięcy

odbudowa zębów implantamiodbudowa uzębienia implantami

Wiek: 50
Płeć: mężczyzna
Czas leczenia: 6 miesięcy

licówki po leczeniu kanałowymlicówki po leczeniu kanałowym

Wiek: 22
Płeć: kobieta
Czas leczenia: 3 tygodnie

leczenie uśmiechu dziąsłowegoleczenie uśmiechu dziąsłowego

Wiek: 42
Płeć: kobieta
Czas leczenia: 2 lata

odbudowa zębów warszawaodbudowa zębów na implantach

Wiek: 70
Płeć: kobieta
Czas leczenia: 1 dzień (praca ostateczna po 6 miesiącach)

prostowanie krzywych zębówrekonstrukcja zębów warszawa

Wiek: 30
Płeć: mężczyzna
Czas leczenia: 2 miesiące

nadbudowa zniszczonych zębównadbudowa zniszczonych i startych zębów

Wiek: 50
Płeć: mężczyzna
Czas leczenia: 4 tygodnie

uzupełnienie protetyczne w technice cut backuzupełnienie protetyczne w technice cut back

Wiek: 45
Płeć: kobieta
Czas leczenia: 4 tygodnie

uzupełnienie braków zębowychmost cyrkonowy w technice cut back

Wiek: 47
Płeć: kobieta
Czas leczenia: 5 miesięcy

mosty na 4 implantachmosty na 4 implantach

Wiek: 55
Płeć: kobieta
Czas leczenia: 7 miesięcy

rekonstrukcja zwarcia zębówpodniesienie zwarcia zębów

Wiek: 25
Płeć: mężczyzna
Czas leczenia: 2 lata

nadbudowa startych zębów warszawaleczenie bruksizmu warszawa

Wiek: 36
Płeć: mężczyzna
Czas leczenia: 5 tygodni

domykanie diastemynadbudowa stałych zębów

Wiek: 31
Płeć: mężczyzna
Czas leczenia: 3 tygodnie

emax warszawa licówkilicówki pełnoceramiczne warszawa

Wiek: 22
Płeć: kobieta
Czas leczenia: 4 dni

bezzębieproteza szkieletowa bezklamrowa

Wiek: 70
Płeć: mężczyzna
Czas leczenia: 1,5 miesiąca

poprawa kształtu zębów licówkamiemax warszawa

Wiek: 25
Płeć: kobieta
Czas leczenia: 4 tygodnie

resztkowe uzębienieproteza szkieletowa na implantach

Wiek: 70
Płeć: mężczyzna
Czas leczenia: 6 miesięcy

odbudowa złamanego zębalicówki kompozytowe warszawa

Wiek: 31
Płeć: mężczyzna
Czas leczenia: 5 miesięcy

odbudowa zębów warszawaemax warszawa

Wiek: 60
Płeć: kobieta
Czas: 4 miesiące 

podwyższenie wysokości zwarcia zębówbruksizm warszawa

Wiek: 26 lat
Płeć: mężczyzna
Czas: 1 miesiąc

Call Now Button