Prostowanie zębów nakładkami przeźroczystymi

Wiek: 28
Płeć: kobieta
Czas leczenia: 10 miesięcy
Marzenie o prostych zębach i hollywoodzkim uśmiechu jest dziś w zasięgu ręki dzięki nowoczesnej ortodoncji. Skuteczną i dyskretną korektę wad zgryzu umożliwia prostowanie zębów nakładkami. To właśnie ta metoda stała się podstawą metamorfozy uśmiechu naszej pacjentki. Zobacz, jak indywidualnie zaplanowane leczenie nakładkami ortodontycznymi odmieniło jej codzienne funkcjonowanie.
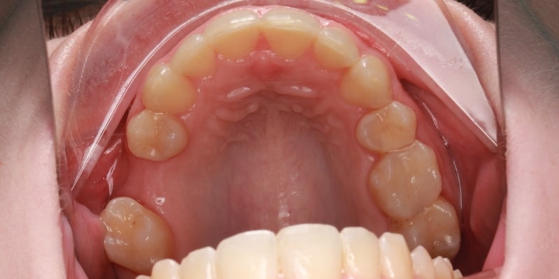
Stłoczone zęby i krwawiące dziąsła — problem pacjentki
Pacjentka zgłosiła się do naszego gabinetu dentystycznego Tłuczewicz Dental Studio w Warszawie, ponieważ chciała poprawić estetykę swojego uśmiechu. Głównym problemem, który wpływał na jej pewność siebie i utrudniał codzienną higienę, były znaczne stłoczenia zębów. Taki stan często prowadzi do dalszych komplikacji, dlatego leczenie krzywych zębów było w tym przypadku priorytetem. Dodatkowo badanie wykazało problem krwawiących dziąseł, co wymagało natychmiastowej interwencji jeszcze przed rozpoczęciem leczenia ortodontycznego.
Od stomatologii zachowawczej do aparatu nakładkowego — indywidualny plan leczenia
Zanim rozpoczęliśmy właściwe prostowanie zębów nakładkami ortodontycznymi przeźroczystymi, skupiliśmy się na solidnych podstawach. Pełne leczenie zachowawcze i profesjonalna higienizacja pozwoliły nam wyleczyć wszystkie ubytki i zlikwidować stan zapalny dziąseł. Ten etap był kluczowy dla bezpieczeństwa i skuteczności całego procesu.
Po przygotowaniu jamy ustnej sięgnęliśmy po najnowocześniejsze technologie. Precyzyjny skan cyfrowy uzębienia zastąpił tradycyjne wyciski, a na jego podstawie stworzyliśmy wirtualny model 3D. To właśnie na nim odbyło się cyfrowe projektowanie uśmiechu, które pozwoliło zaplanować każdy ruch zębów. Terapia z użyciem indywidualnie przygotowanych przeźroczystych nakładek ortodontycznych – często nazywanych niewidocznym aparatem – mogła się rozpocząć. Rezultaty przerosły najśmielsze oczekiwania.
Efekty leczenia nakładkami były widoczne już po kilku miesiącach. Aparat nakładkowy skutecznie zlikwidował stłoczenia, a zęby ustawiły się w idealnie równym łuku. Metamorfoza uśmiechu pacjentki była spektakularna – odzyskała nie tylko piękny wygląd, ale również zdrowie i komfort.

Podkreślamy, że każdy przypadek jest wyjątkowy, a końcowy wynik zależy od wielu różnorodnych czynników. Dlatego nie można oczekiwać, że efekt leczenia będzie taki sam dla wszystkich.